神経を抜いた歯がひどく痛む

048-725-2365
24時間WEB予約
キービジュアル
県内トップクラスの設備と技術

神経ったが、
また

あきらめないでください。
抜歯せず治す方法があります。
成功率の高い「米国式」根管治療
  • 「マイクロスコープ」による精密治療
  • 「ラバーダム」で再感染防止
  • 「レーザー」で殺菌
  • 抜歯を防ぐ「歯根端切除術」
セカンドオピニオンにも対応しています〜
  • 治療前
  • 治療後
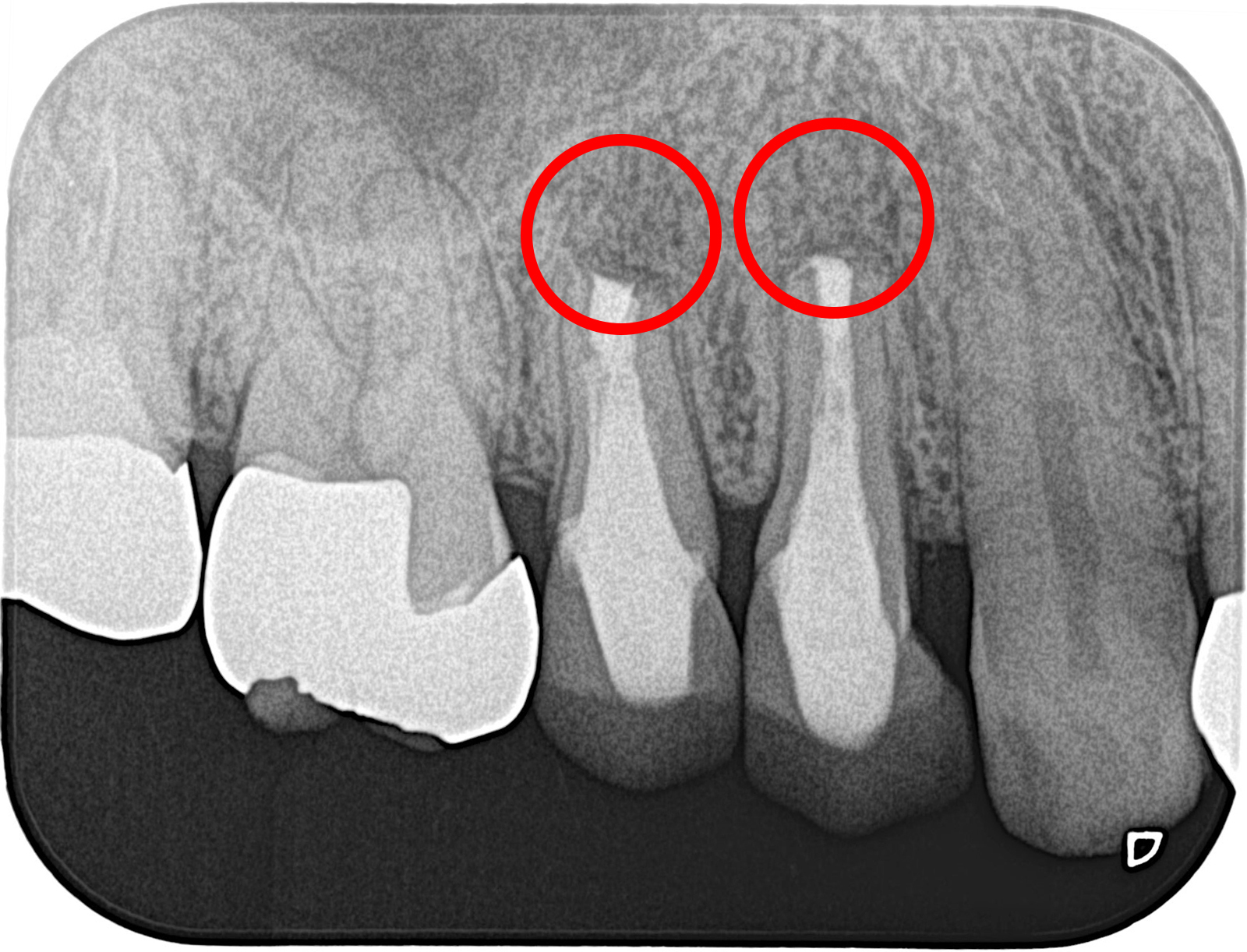
根の先の膿の袋が大きすぎて抜歯を宣告された症例。
当院では根管治療のみで、病変は完全に治癒した。
  • 治療前
  • 治療後
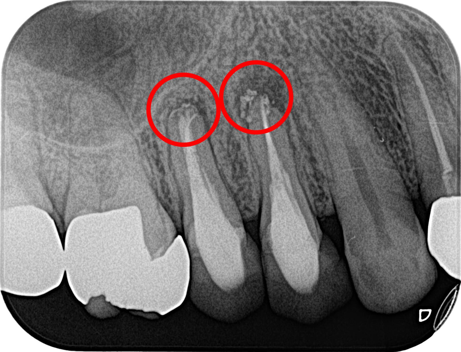
根の先に大きな膿の袋ができ、歯茎の腫れと痛みを繰り返してきた症例。
当院で根管治療を行い、MTAセメントを充てんし、病変は治癒した。
  • 治療前
  • 治療後
根の先に大きな膿の袋ができ、前医で抜歯を宣告された症例。
当院で根管内を清掃し、MTAセメントを充てんし、病変は治癒した。
  • 治療前
  • 治療後
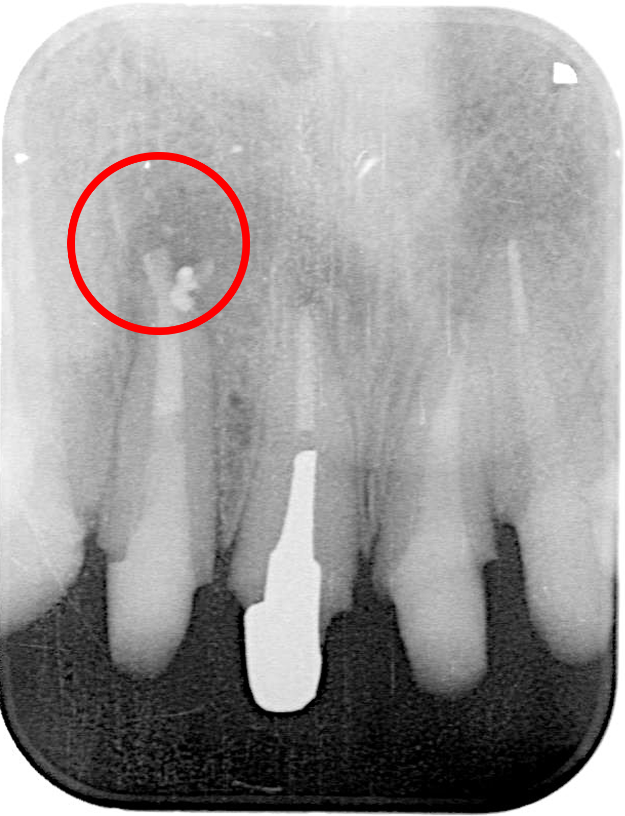
前医で根管治療を行った際、ファイルが破折して歯の中に残ってしまった症例。
超音波で振動を与えて破折ファイルを浮かせることで、安全に除去できる。
  • 治療前
  • 治療後
他院で根管治療を受けたが痛みが取れず、当院で歯根端切除を行った。
術後8カ月、きれいに骨が再生している。
  • 治療前
  • 治療後
他院で根管治療を行ったが治癒せず、当院で歯根端切除を行いMTAセメントを充塡した。
術後8年後の様子。骨はきれいに再生している。

神経を取ったはずの歯が、どうして痛む?

虫歯が進行して歯の内部、つまり「神経」にまで達すると、激しい痛みを引き起こします。この場合「根管治療」を行い、神経を取り除く処置が行われます。しかし、治療後に神経を除去したはずの歯が再び痛むようになったという経験をした人は少なくないはずです

どうして、神経を取ったはずの歯が痛むのでしょう。

これは、歯の根の中に残っていた虫歯菌が時間をかけて再び悪さをして、歯の根の先に膿がたまる(根尖病巣)などのトラブルを引き起こすためです。
症状の程度によっては、再び根管治療を行うことで改善できることもありますが、症状が重くなると、抜歯が必要となるケースもあります。放置すると手遅れになることもあるので、「神経を取ったのに痛い」と感じたら、早めの受診が大切です

当院は、神経を取った歯の炎症の再発を治療するのを得意としています。

一般的な歯科医院では抜歯するしかない、重度の根尖病巣なども対応可能です。特に、歯根端切除術においては、埼玉県トップクラスの実力と設備、成功率があると自負しております

神経を取った歯に違和感を覚えたら、お気軽にご相談ください。

ここでは、当院の「米国式」根管治療と、抜歯を防ぐ歯根端切除術についてご紹介します。

高い成功率を誇る「米国式」根管治療

次の写真をご覧ください。歯の中を走る黒い筋が、「根管」です。

根管の中は非常にせまく複雑です。直径が1mmに満たないところもあります。「根管治療」では、こんなに狭くて複雑な根管内から、虫歯菌に感染した神経を取り除きます。
細菌が残っていると、炎症が再発してしまいます。事実、東京医科歯科大学の調査では、根管治療を行った歯の半数以上で膿が溜まっていたそうです。つまり、日本の一般的な根管治療の成功率は、高く見積もっても50%程度ということです。

一方で、欧米ではその成功率が90%を超えています。世界的に見れば、根管治療の成功率を向上させるための技術や器具が開発されていますが、日本では保険診療の制限により、これらの技術や器具が十分に活用されていないのが現状です。
当院は、これら先進的な技術や器具を積極的に採用し、欧米と同等の成功率を実現する「米国式」根管治療を提供しています。「米国式」根管治療には以下のような特長があります。
  • マイクロスコープ」を用いた精密な治療
  • ラバーダム」を使用して再感染を防止
  • ニッケルチタンファイル」による感染部位の徹底除去
さらに、歯科用レーザーなどの最新技術も導入し、治療の成功率をさらに高めています。当院が提供する根管治療について、詳しくご紹介いたします。

「マイクロスコープ」「高倍率ルーペ」による精密治療

さきほど、根管の中がいかにせまくて複雑かをご覧いただきました。ここから細菌を取り除けるかどうかが治療の成否を分けるのですが、これが非常に難しい作業であることは想像に難くないと思います。

しかし、日本の多くの歯科医院では、この作業を「肉眼」で行っています。これでは限界があります

当院では、歯科専用の顕微鏡である「マイクロスコープ」と「高倍率ルーペ」を用い、視野を拡大して治療を進めています。

次の画像は、マイクロスコープを通して見た患部の様子を捉えています。肉眼と比べて、どれほど精密な治療が可能かを実感していただけると思います。

「CT」で複雑な根管を的確に可視化

根管は歯の内部にあり、肉眼で確認することはできません。そのため、根管の詳細を把握するにはX線検査が欠かせません。一般的には「レントゲン」が知られていますが、私たちは「CT」を用いた検査を行っています。レントゲンは2次元の画像しか得られませんが、CTはお口の周囲を回転しながら撮影し、立体的で精細な画像を提供します

「ラバーダム」で再感染を防ぐ

虫歯菌が原因で起こる根管の炎症を治療する際、根管内を無菌状態に保つことが成功への鍵となります。

特に注意すべきは、唾液の侵入です。唾液には多くの細菌が含まれており、一度でも侵入すると治療の再発を引き起こす可能性があります。
そのため、私たちは「ラバーダム」という器具を使用しています。ラバーダムはゴム製のシートで、治療する歯だけを露出させ、口腔内全体を覆うことで、唾液の侵入を完全に防ぎます。これにより、無菌状態を維持しながら治療ができます。

ラバーダムを活用することで、根管治療の成功率は飛躍的に高まります。実際、アメリカではラバーダムを使用しない根管治療を行うと、歯科医師免許が取り消されるほど重要な器具とされていますが、日本ではまだ普及していません。

私たちは、根管治療において必ずラバーダムを使用しています。

「ZOO」の利用

ZOOは、歯の周りにある唾液や湿気をバキュームで吸引し、口内を乾燥した状態に保つための器具です。この乾燥状態を保つことで、唾液を通じて根管内に細菌が侵入するのを防ぎ、再発のリスクを低減します。

さらに、バネの機能により口を開けた状態を維持し、チューブが舌を避けるように設計されているため、患者さんにとっても治療がより快適になります。

「ニッケルチタンファイル」で感染部位を除去

感染した神経組織を取り除くためには、「ファイル」と呼ばれるヤスリのような器具を使用します。多くの歯科医院ではステンレス製のファイルを使用していますが、ステンレスファイルは硬いため、複雑な形状を持つ根管に入りにくく、内部の神経組織を効果的に削ることが難しい場合があります。

一方、アメリカで一般的な治療器具として使用されているのが「ニッケルチタン」製のファイルです。このニッケルチタンファイルは柔軟性に優れており、根管の様々な形に適応して、感染した部位をしっかりと取り除くことができます

レーザーを活用した殺菌治療

当院では、治療において歯科用レーザー装置を積極的に取り入れています。

このレーザー光は、優れた殺菌作用を持っており、根管内を照射することで患部をより効果的に殺菌できます。これにより、根管治療の成功率が向上します。また、レーザー光は歯の質を強化する働きもあり、治療後の経過がより良好になります。

「ジロソニック」による根管内の徹底洗浄

ジロソニック」は、超音波を用いた先進的な根管治療機器です。超音波振動の力で、根管内に残った細菌や組織のかけらを効率よく除去します。この方法は従来の手法に比べて内部をより徹底的に清掃でき、再発のリスクを大幅に低く抑えられます

「EDTA」「次亜塩素酸ナトリウム」で殺菌洗浄

感染した部分を取り除いた後、根管内には微細な削りカスが散らばっており、これらには細菌が付着しています。これらの削りカスを完全に除去することは非常に難しく、一部の歯科医院では削りカスを残したまま治療を終えてしまうこともあります。これが根管治療の成功率を下げる原因の一つとなっています。

当院では、根管内を「EDTA」や「次亜塩素酸ナトリウム」といった高い殺菌力を持つ薬剤で洗浄します。これにより、削りカスを溶かして洗い流し、根管内を無菌化することで、治療の成功率を向上させています。

「MTAセメント」で充てん

神経を取り除き、徹底的に殺菌洗浄を行った後、空洞となった根管に「充填剤」を詰めます。通常は「ガッタパーチャ」と呼ばれるゴム製の充填剤を用いることが一般的ですが、ガッタパーチャは歯との間にすき間が生じやすく、そこから細菌が侵入することで再発の原因となることがあります。

当院では「MTAセメント」という充填剤を採用しています。MTAセメントには以下のような特長があります。
  • 固まる際に膨張するため、歯との間にすき間が生じにくい
  • 強いアルカリ性を持ち、殺菌作用で虫歯菌の再繁殖を防ぐ
  • 非常に硬くなり、歯を内側からしっかりと支える
  • 歯の質を強化する効果
こうした取り組みを通じて、私たちの根管治療は、欧米に匹敵する成功率を誇ります。

抜歯を避けるための取り組み

歯の根に炎症が生じた場合、一般的な根管治療では対処が難しいケースがあります。また、神経を失った歯は脆くなりがちで、歯茎の中で割れることもあります。

こうなってしまうと、多くの歯科医院では「抜歯」と判断されることが多いです。

しかし、当院では、次のような治療法や技術を用いて、可能なかぎり抜歯せずに治療することを心がけています。

歯の根の炎症を治療する「歯根端切除術」

歯の根の先に炎症が発生し、膿が溜まった場合、最悪の場合、抜歯を勧められることがあります。しかし、私たちでは「歯根端切除術」を用いて、歯を抜かずに処置することが可能なケースもあります。

歯根端切除術とは、歯茎の外側を外科的に切開し、炎症を起こしている歯の根の先端と膿を含む袋を一緒に取り除く手法です。手術後の空間は血液で満たされ、やがて自然に新しい骨が再生し、空洞を埋めていきます。

歯根端切除術は、簡単な治療ではありません。歯根端切除術を得意としている医院でも、奥歯にはできないことが多いのですが、当院は、奥歯であっても対応が可能です。

割れた根を治す「破折歯牙再植」

通常、歯茎の内部で割れてしまった歯は抜歯の対象となります。しかし、私たちは「破折歯牙再植術」という手法を用いることで、抜歯を避けて治療を行うことが可能です。

この破折歯牙再植術では、まず割れた歯を一度抜き、特別な接着剤を使用して修復します。その後、修復した歯を元の位置に戻すという手順を踏んで治療を進めます。
※奥歯など、大きな力のかかるところには、行えないことがあります。

セカンドオピニオンにも対応します

根管治療は何度でも繰り返せる治療ではありません。神経には、歯に栄養を運ぶ血管が含まれているので、神経を除去した歯は栄養を取り入れられず、時間の経過とともに弱くなってしまいます。再発〜再治療を繰り返すと、いずれ歯は割れてしまうでしょう。

だからこそ、神経を取った歯が痛んだら、しっかりした技術力のある歯科医院で治療を受けてほしいのです。

当院は、セカンドオピニオンも承ります。

ご相談の際には、マイクロスコープを使用して歯の内部を撮影し、その映像を見ながらしっかりとご説明いたします。どうぞお気軽にご相談ください。

初診「個別」相談へのご案内

当院では、患者さんが抱えていらっしゃるお口のお悩みや疑問・不安などにお応えする機会を設けております。どんなことでも構いませんので、私たちにお話ししていただけたらと思います。
ご興味がある方は下記からお問い合わせください。

ご予約・お問い合わせ048-725-2365

  • 24時間WEB予約

〒362-0081
埼玉県上尾市1丁目北24-18

駐車場完備

このページの先頭に戻る